本文介绍了凤凰独家|猴痘如何流行?中国如何应对?人类猴痘专家最权威解读,对大家解决问题具有一定的参考价值,需要的朋友们下面随着小编来一起学习吧!

凤凰网原创 猴痘病毒并不容易“人传人”,为何还会在欧美澳暴发?目前死亡率如何?有什么治疗手段?传入中国的风险有多大?凤凰网《肿瘤情报局》特邀权威专家张作风教授独家解读。
核心提要:
1. 猴痘是一种森林动物人畜共患病。目前欧美澳州共计确诊92例病例和28例疑似病例。比利时20日宣布,要求猴痘感染病例进行为期21天的隔离,成为欧盟首个要求对猴痘病例隔离的国家。这次爆发特点是大多数确诊猴痘病例与旅行无关,大多数发生在年轻男性同性恋者,致命性比较低(到目前没有死亡病例),不太容易人传人(R0小于1),但和新冠病毒一样会发生突变。
2. 命名为“猴痘”实际上用词不当,该病毒应该被称为“啮齿动物痘”。事实上,猴子不是主要的携带者。相反,这种病毒可能会持续存在于松鼠、袋鼠、睡鼠或其他啮齿动物身上。
3. 猴痘通常在临床上表现为发烧、皮疹和淋巴结肿大,并可能导致一系列临床并发症。猴痘目前为止没有经过验证的治疗方法,但天花注射剂TPOXX对治疗“西非分支”非常有效,该药已有口服剂,欧洲国家也已核准使用。牛痘/天花疫苗可以保护人群免受猴痘的侵害,有效率约为85%。
4. 考虑到病毒传播力比较弱,估计疫情不会在欧美澳持续很长时间,再加上中国在1982年才停止全民接种牛痘疫苗,所以40岁以上的人群(接近50%的中国人群)已经有免疫力,因此目前的猴痘疫情对中国人群影响应该非常有限。但是一旦发现疫情,应该对40岁以下的人群紧急接种,所以要有足够疫苗储备,以备不时之需。作者|张作风博士加州大学洛杉矶分校(UCLA)公共卫生学院流行病学系系主任,流行病学杰出教授
凤凰网《肿瘤情报局》特约专家

▎Anne Rimoin是加州大学洛杉矶分校菲尔丁公共卫生学院流行病学教授。这是她在刚果工作期间的图片5月12日下午,我的同事安妮里蒙 (Anne Rimoin)教授来到我的办公室,告诉我最近英国的人类猴痘 (Human Monkeypox)的小型爆发,多数病例是在男同性恋者中发现,是首次发现猴痘可能被性传播的情况。安妮里蒙 (Anne Rimoin)是我们流行病系的教授。她是国际公认的埃博拉、人类猴痘和中非疾病出现的新发传染病流行病学专家。她在2002年开始在刚果民主共和国 (DRC) 建立人类猴痘的实验室,研究生活在动物与人类接触交汇处的人群中新发传染病的出现,包括埃博拉病毒对幸存者的长期后果;自天花疫苗接种停止以来猴痘的出现;新病原体(下刚果病毒)的鉴定和人类猿猴泡沫病毒的新菌株。下面将我和安妮里蒙教授关于猴痘爆发情况以及严重程度、未来走向如何等,交流的一些学习心得综述如下。


欧美人类猴痘爆发与旅行无关
多数病例发生在男男同性恋者中猴痘是一种森林动物人畜共患病。按照世界卫生组织最新资料,目前欧美澳州共计确诊92例病例和28例疑似病例。猴痘是通常局限于中非和西非的传染病,如此多的确诊病例和疑似病在非洲外出现是前所未有的。
按照欧州疾控中心 (ECDC)和美国疫控中心 (US CDC)的最新资料,猴痘2022 年5月7日在英国首次发现以来,英国共确诊了20例病例。其中大多数无旅游史,与5月7日确诊的旅游尼日利亚相关的首例无关。英国报告病例以后,在欧州,北美和澳大利亚相继出现病例,包括比利时,法国,意大利,葡萄牙,西班牙,瑞典,加拿大,美国,和澳大利亚等国家。这次爆发特点是全球大多数确诊猴痘病例与旅行无关,大多数病例发生在年轻男性同性恋者,到目前没有死亡病例。

猴痘和新冠病毒不一样,是不太容易人传人的。但是这次在世界各地非洲以外的欧美澳州同时发生,是不太符合传播规律的。一个可能的原因是:自从1970-80年左右停止天花疫苗以后,人类对天花的免疫力下降。考虑到天花病毒和猴痘病毒同族,对猴痘的免疫力也下降了。40-50岁以下的从未接种天花疫苗的年轻人猴痘的危险很高。当新一代出生在一个没有天花或天花疫苗接种运动的世界时,他们长大后很容易感染猴痘。在刚果民主共和国,免疫力下降意味着猴痘感染在天花消失后的30年中增加了20倍,正如安妮里蒙教授在2010年发表的研究成果,这使病毒有更多机会进化成人类传播性更强的病原体。正因为群体免疫能力下降,由于国际旅行的交流,猴痘可能已经侵入欧美澳的社区,引起隐蔽性传播和社区感染。另外的原因是猴痘病毒也有可能像新冠病毒一样,产生的新的突变,这种突变使得病毒的传染力更强。这个原因应该很快就可以通过病毒测序和原始病毒进行比较,被清楚地发现。

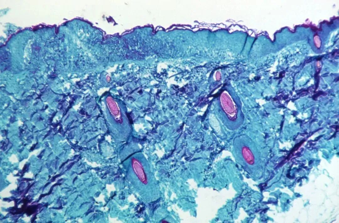
▎在50倍放大镜下可以看到从感染猴痘病毒的猴子皮肤损伤处采集的皮肤组织切片

该病毒人传人的能力很差
通过性传播爆发

按照世界猴痘专家安妮里蒙教授意见,命名为这个名字实际上用词不当。该病毒应该被称为“啮齿动物痘”。美国疾病控制与预防中心表示,“猴痘”这个名字来自于1958年首次记录的这种疾病病例,当时在为研究而保存的猴子群中发生了两次暴发。但猴子不是主要的携带者。相反,这种病毒可能会持续存在于松鼠、袋鼠、睡鼠或其他啮齿动物身上。动物传人和人传人引起感染,主要来自动物咬伤、抓伤或接触动物体液,然后病毒可以通过咳嗽和打喷嚏或接触病变部位的脓液传播给其他人。人与人之间的传播被认为主要是通过大的呼吸道飞沫发生的。呼吸道飞沫通常不能传播超过几英尺,因此需要长时间的面对面接触。其他人际传播方法包括直接接触体液或病变材料,以及间接接触病变材料,例如通过受污染的衣服或床单。该病毒的潜伏期是1-3周。该病毒人传人的能力很差。一般认为,该病毒的R0(从一名感染者身上感染疾病的平均人数)一直小于1,这意味着疫情自然会逐渐减少。没有密切接触的个体之间传播的可能性被认为很低。所以目前尚无明确证据,该病毒仅靠人与人之间的传播,就可以维持人群中的猴痘感染。

▎Anne Rimoin教授接受采访通过性传播导致爆发。这次在英国的爆发,主要的聚集性爆发,是在男男同性恋人群。这是世界上首次报道这样的传播途径。从理论上来说,这应该属于密切接触,体液暴露范围,在此特殊人群发生聚集性爆发,可能是偶然机遇,也有可能是病毒的传播方式因为基因突变而至传染性加强所导致。如果在其他国家也出現同类的聚集性爆发,病毒传播力加强的可能性会加大。

▎美国CDC公布1996年到1997年时,非洲刚果共和国暴发的猴痘疫情,患者双手出现疹块

猴痘致命性较低,至今无死亡病例猴痘引起的人体损伤与天花感染的损伤基本相似。猴痘通常在临床上表现为发烧、皮疹和淋巴结肿大,并可能导致一系列临床并发症。猴痘通常是一种自限性疾病,症状持续2至4周。可能会发生严重的情况。最近,病死率一直在3-6%左右。猴痘的致命性比较低。约10%的死亡率适用于在刚果盆地(刚果金,DRC)感染人们的中非菌株。本次爆发病例与西非毒株有关的死亡率接近1%-3.5%。非洲的高死亡率发生在贫困的农村人口中。本次爆发是在资源丰富的欧美澳州,感染猴痘的病死率可能较低。最近的感染是通过诊所发现的相当轻微的病例,而不是因为人们因为病情严重在急诊室诊断的。本次爆发,尚未发生死亡病例。

治疗方法。猴痘到目前为止没有经过验证的治疗方法,但医生可以治疗其症状。安娜里蒙教授告诉我,天花注射剂TPOXX对治疗“西非分支”非常有效。她说,除此之外,还有一些尚未在人体中广泛测试的实验性药物。

▎FDA在美国发现一例后,紧急核准治疗天花注射剂TPOXX治疗。该药已有口服剂,欧洲国家也已核准使用

▎一种名为Genios的疫苗,也称为Imvaimmune或 Imvanex,已在美国获得许可用于预防猴痘,预防效果可达85%预防方法。按照美国疾病控制中心,可以采取多种措施来预防猴痘病毒感染:
1. 避免接触可能携带病毒的动物(包括在猴痘发生地区生病或被发现死亡的动物)。
2. 避免接触与生病动物接触过的任何材料,例如被褥。
3. 将受感染的患者与可能有感染风险的其他人隔离开来。
4. 与受感染的动物或人类接触后保持良好的手部卫生。例如,用肥皂和水洗手或使用含酒精的洗手液洗手。
5. 照顾患者时使用个人防护装备 (PPE)。天花疫苗可以保护人群免受猴痘的侵害,它的有效率约为85%。天花疫苗含有活病,这些“活”疫苗是通过使用仍能自我复制的病原体制造出来的,并将其毒性削弱,使其不那么有害。所以天花疫苗存在一些安全问题,因为它是一种减毒活病毒,可导致免疫系统严重受损的人发生致命感染。


猴痘疫情走向和中国如何应对?
国内应储备牛痘/天花疫苗以备不时之需猴痘疫情引起了正在面临新冠疫情中的中国民众的密切关注。有人担心一波未平一波又起,造成双重灾难。我总结几个事实以减少大家的忧虑。一是考虑到最长三周的潜伏期,同时临床医生的关注,近期可能会发现更多的确诊病人。但是考虑到病毒传播力比较弱,估计疫情不会在欧美澳持续很长时间。二是目前涉及疫情的国家,医疗条件均好于中非和西非,估计病死率会比较低。三是目前亚洲的中国邻国以及中国国内并没有发现新病例。尚未构成威胁。

▎张作风博士,现任美国加州大学洛杉矶分校(UCLA)公共卫生学院流行病学系系主任,流行病学杰出教授四是中国在1982年才停止全民接种牛痘,所以中国40岁以上的人群(接近50%的中国人群)已经接种过牛痘/天花疫苗(85%保护率)再考虑到病毒初始传播指数(R0)小于1,即就是有新病例,也很难造成大规模疫情。但是一旦发现疫情,应该对40岁以下的人群紧急接种,所以要有足够疫苗储备,以备不时之需;五是考虑到国内目前严格的边境防疫管理方法,估计新病例很难从国外传播到国内。所以总体来说,目前的猴痘疫情对中国人群影响应该非常有限,大家不必枕戈待旦。热门视频推荐?
往期好文推荐?




